可怕!不少广东人都吃过!男子左肝被虫卵“掏空”!

作者: 陆丰陆丰 | 日期: 2020-07-20

55岁的谢师傅是四川人,
到杭州打工十余年,
去年年底因父亲病故
回老家小住了一段时间。
今年春节回杭后
出现食欲不振和乏力
起初还伴有不明原因的轻度腹痛、腹泻
4个月过去了,
他一直以为是心情郁闷所致,
直到出现了三天的畏寒、发热,
才到杭州市第一人民医院肝胆胰外科就诊。

这一检查可把医生和谢师傅都吓坏了,
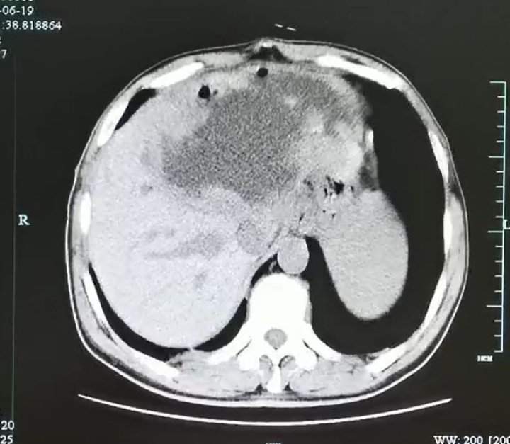
因为超声影像科检查显示
谢师傅的左肝已经被“掏空”了,
变成了一个大脓球
医生仔细测量了一下,
大脓球达到19cm×18cm×12cm 大小。


入院后腹部CT检查发现肝脓肿壁上长了很多肿瘤样的结构,而且壁很厚看来这个肝脓肿不简单。

为了让脓球变小,进一步追查“元凶”,医生在超声指引下给谢师傅做了脓球的穿刺引流。结果大量的灰白色脓液被顺利引出,但是经过一系列的检查后,却没有发现细菌、真菌、结核和恶性肿瘤的“踪迹”。那谢师傅到底得了什么病呢?

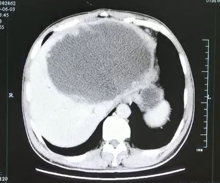
经过三周的引流和保守治疗,复查增强CT发现谢师傅左肝的脓肿小了一大半,但是肝脓肿厚壁及厚壁上的很多肿瘤样组织没有变化,引流管里引流出来的液体开始减少,而且脓腔也不再进一步缩小,显示出这个脓肿很难自愈。



经过肝胆外科、感染科、影像科等多学科会诊及讨论后,贾长库主任、沈伟敏主任医师、徐孙兵副主任医师等,果断地为患者进行了手术将左半肝切除,完整地拿掉了这个迷雾重重的病灶。

谁都没有想到,病理显示脓肿壁上大量的肿瘤样结构竟然是肉芽肿性炎性肿块,里面甚至还爬满了灯泡状、壳厚的华支睾吸虫虫卵,脓肿内多得数不清,看得人头皮发麻。

华支睾吸虫

又称肝吸虫,是我国感染率最高的寄生虫之一,它可以寄生在人体的肝胆系统,产生毒素和一些分泌物,损伤肝细胞、胆管上皮细胞,引起肝脏反复的炎症、器官衰竭等症状,可能发展为肝硬化,严重时可能导致肝癌。


但是谢师傅的体内
为什么会有这么多虫卵呢?


术后,谢师傅回忆起自己回老家时,买过当地的鱼做了一次酸菜鱼。“为了追求鲜嫩的口感,鱼片我只用热水氽了几十秒就吃了。”谢师傅说,他们当地有生吃或半生吃鱼片的习惯,当地人称之为“鱼生”。

真相大白了,肝吸虫虫卵喜欢躲在淡水鱼虾等水产品体内,当人们吃了卫生不达标的生鱼片或未熟透的鱼虾等食物时,它就会随之悄悄潜伏进人体。“一旦鱼被肝吸虫感染,吃了生鱼片之后人随即也会感染。”医生告诉谢师傅。

杭州市一医院供图

此虫繁殖力惊人,每次可产1400到2000个卵,而且可存活20到30年。贾长库主任说,如果置之不理,它们不仅会在肝内安家,而且会靠肝“吃”肝。“但是由于近年来各地的卫生状况和人们的生活习惯越来越好,现在我们已经很少能见到此类病人了。”

医生表示,不管是哪里的淡水鱼和淡水虾,还有经淡水回游的海鱼都有可能被肝吸虫感染。

可怕!
原来“肝吸虫”
竟有这么大的“威力”!
提起不少人爱吃的“鱼生
大家一定要当心了!
千万别病从口入
被感染肝吸虫病……

鱼生里的寄生虫
可跟随宿主20-30年没感觉
严重甚至引起肝癌


肝吸虫喜欢“躲在”淡水鱼虾体内,随着人们吃鱼生、未熟透的鱼虾等方式悄悄潜伏进人体。它们在人的肝胆管内寄生产卵并生产代谢产物,从而引发一系列并发症,堵塞胆管。

同时,它的生命力也很顽强,一旦在宿主体内住下来,可以一直跟随20-30年。

所以...
你以为你吃的是美味的生鱼片
其实可能吃下去的是寄生虫!

图片来源:视觉中国

感染初期,人可能还没什么感觉,因为轻者几乎无症状;但严重的话会有腹痛、腹泻、消化不良、营养不良、疲倦乏力、肝区隐痛、肝肿大等临床表现,晚期可出现肝硬化和腹水,还可并发胆囊炎、胆管炎、胆管阻塞等,甚至引起肝癌。

如果宿主是孩子,还会严重影响生长发育,甚至导致侏儒症。

所以
还是不要冒险了!
关于吃“鱼生”,还有几大误区

误区一:
酱油、芥末等调味料能杀死肝吸虫?不能!

肝吸虫的囊蚴对调味品的抵抗力比较强,调味品短时间内无法起到杀虫功效。专家指出,肝吸虫囊蚴在醋中可存活2小时,在酱油中可存活5小时。

误区二:
喝白酒可以杀虫?不能!

喝白酒不但杀不死肝吸虫,反而会加重对肝脏的负担。 

误区三:
与别人共餐时有鱼生,自己不食用鱼生,会感染吗?

有这样的可能性。因为寄生在鱼肉上的肝吸虫囊蚴可污染到筷子,交叉污染到别的热菜。

想躲开“寄生虫”
你得这么吃

01
 至少煮沸5分钟才能吃
不吃生或未煮熟的淡水鱼虾。彻底煮熟方可进食,要保证至少煮沸5分钟以上再动筷子哦~
02
严格区分生熟食品用具
切生熟食品所用的刀和砧板要分开,不可混用;盛过生鱼的各种用具要洗刷干净。
03
不要用生的食物喂猫狗
不要用生的鱼鳞、鱼内脏、鱼鳃等喂狗、猫,洗鱼的生水也不要喂猪或其他家养动物。
04
勤洗手
同时也要注意手卫生,勤洗手!

 ·  E N D  ·

来源 | 广州日报、杭州交通918、都市快报、

健康广东、广东疾控、深圳市第三人民医院

编辑 | 风起长林

陆丰陆丰

关注获取更多资讯

小编微信

报料或拉你加入群

长按二维码关注最新动态




点分享
点点赞
点在看

来源: 陆丰陆丰