男子被260米长的风筝带上了天!摔下来后更曲折的事来了...

作者: 陆丰陆丰 | 日期: 2019-11-30

这段时间

在空旷的草坪上放风筝

真的浪漫又美好



但是浙江杭州的吴先生

怎么也没想到,

自己竟会被一只

260米长的风筝"带上天"

还摔成了骨折!



而且后续剧情的展开一波三折

令人大感意外!

看着都觉得心疼...



260米长的风筝!男子瞬间被"带上天"


吴先生是一个货车司机。11月13日,他接到一单活——把一只巨龙风筝,从桐庐运到良渚古城遗址公园。 



一个风筝能有多大

需要用那么大的货车来运送?


还真就那么大!

飞上天的样子↓


这个风筝

平时是用几个大箱子分开装的

组装起来有260米长

重120斤

其中光鳞片就有100斤


13号中午,风筝由吴先生运到了良渚遗址公园。开始放飞后,吴先生也在旁边观赏,但意外就在这个时候发生了...


一开始,现场共二十多人一起在放这个巨型风筝,但风筝实在太大,场面逐渐失控。眼看快拉不住了,吴先生便跑上去帮忙。可就在吴先生用力拉风筝线的时候,有些人却松手了。



时还拉着风筝线的人

都被带飞了

吴先生也是其中一位

他见大事不妙,赶紧松手

重重地摔在了地上



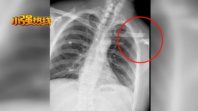
当天吴先生被确诊为

左锁骨粉碎性骨折





帮忙放风筝摔成骨折,究竟算谁的责任?


手术后,吴先生骨折处植入了一块钢板,11天的住院治疗共花费了1万7千块钱。吴先生认为,这笔医药费应该由杭州蜂之语公司承担。因为,当时就是这家公司雇佣了他,让他运送风筝。 



但公司方面回应:首先,吴先生并非他们的员工,他们只是雇佣吴先生的货车运送风筝;另外,吴先生是在风筝放飞时出的意外,不是在运送风筝时出的事故。基于这两点,他们没有责任。


可是,作为此次风筝放飞的组织者,活动中有人受伤,组织方难道没有责任吗?对此,蜂之语公司表示,这只巨龙风筝并非他们所有,是四个老人制作了这只风筝,他们是赞助这些老人,完成他们放飞风筝的心愿。如果吴先生想要追究责任,应该去找那四个老人。


原来,这只巨龙风筝是一位名叫张志刚的德清老人制作的。老人今年77岁,出事的这只巨龙风筝,是他在2007年,耗时9个月完成,随后,被放进了德清博物馆。老人一直有个遗憾,这只风筝没有完整地放飞过。今年6月,终于有公司愿意赞助他完成他放飞的心愿。


针对这起意外,这起放飞活动的负责人之一、原杭州风筝协会会长王纪仪老人表示,他们也没有责任,他们并不认识吴先生,也没有邀请吴先生放风筝。吴先生出了事情,跟他们无关。



看到这儿

相信大家也都有些无奈

吴先生受了那么大的罪

难道是自己活该?



这次风筝放飞活动是在良渚古城遗址公园进行,活动中出意外,公园是否有责任呢?对此,公园管理方首先表示,这次风筝放飞,老人们进行过场地申请,也通过了他们的审批。活动本身是没有问题的。 



北京盈科杭州律师事务所的

律师徐伟平表示:


吴先生是在帮别人放风筝过程中受的伤,他跟要求帮忙的这个大爷之间就有一个帮工关系。按照法律规定这个帮工过程中的责任,应当是由委托人或者要求他帮忙的这个人承担责任 。 



谁叫吴先生帮忙放风筝,谁就为这次意外负责。现在的问题是,当初喊吴先生帮忙的那个大爷,现在无法找到。唯一的信息是,现场放风筝的人,基本上都是四个老人的亲戚朋友。


据了解,事故发生后,杭州蜂之语公司和四个老人都愿意支付部分费用,但无法全额承担吴先生的医疗费。这让吴先生无法接受,他进一步提出了误工费和营养费的要求。目前,当事各方都表示,愿意做进一步协商。 



没想动一个风筝,

居然引发那么大的风波!

对于目前这尴尬的局面,

大家怎么看呢?



上面的事故是离奇的个例

不过日常放风筝还是存在许多危险的

例如近几年频频发生的风筝线伤人事件

最近又有人在骑车路上惨遭风筝线割喉


“11月14日下午两点多,山东泰安的张女士正骑车去上班,由西向东路过南湖公园北门时,忽然脖子一疼,从电动车上摔下来了。她用手一拽,才发现是被一条风筝线撂倒了。更吓人的是,风筝线从的脖子割了过去!伤口大概有15毫米深,缝了三十多针,羽绒服也被割破了。



而就在张女士被割伤前几分钟,同时路过该路段的李女士,也被这条风筝线割伤倒地...


李女士说:“我当时骑车的速度很慢,但也根本没有发现这条风筝线,就是觉得脖子一疼,我就赶快用手抓住了风筝线,结果手套都被风筝线勒烂了。我脖子上缝了10针,我要是没有用手抓住,后果不堪设想。”


现在正是放风筝的最佳时间

不少家长都会趁着周末带孩子来到户外

一起放风筝


大家放风筝时

要时时刻刻注意风筝的动向

而路过放风筝聚集地的亲

千万要多加留心哦



放风筝最强安全攻略

请滑动查看



综合自:新闻坊(stvxwf)、小强热线、

齐鲁晚报、广州日报(guangzhoudaily)、广东消防




点个“在看”证明您已阅,谢谢!↓↓

来源: 陆丰陆丰